Gram Stain رنگ آمیزی گِرَم
هنگامی که پزشک مشکوک به عفونت باکتریایی (یا گاهی قارچی) است؛ اغلب زمانی که کشت درخواست شود
خیر
-
این آزمایش در چه مواردی کاربرد دارد؟رنگ آمیزی گرم به همراه کشت از یک ناحیه آلوده، برای شناسایی علت عفونت باکتریایی استفاده می شود. رنگ آمیزی گرم نتایج اولیه در مورد وجود باکتری و نوع کلی، مانند شکل و گرم مثبت یا گرم منفی بودن آن، ارائه می دهد.
اغلب تشخیص حضور باکتری و تعیین اینکه آیا عفونت توسط یک میکروب ایجاد شده است که مثبت یا گرم مثبت باشد، کافیست تا پزشک بتواند درمان با آنتی بیوتیک مناسب را انجام دهد در حالی که منتظر آزمایش های خاصی تکمیلی مانند کشت است. وجود یا عدم وجود گلبول های سفید در رنگ آمیزی گرم نشان دهنده نمونه کافیست؛ زیرا گلبول های سفید خون اغلب در هنگام عفونت وجود دارد.
رنگ آمیزی گرم ممکن است به عنوان بخشی از ارزیابی یک کشت انجام شود. هنگامی که باکتری ها در یک محیط مغذی در آزمایشگاه رشد می کنند، رنگ آمیزی گرم برای کمک به تعیین نوع باکتری موجود و تعیین آزمایش های لازم برای شناسایی قطعی علت عفونت انجام می شود.
قارچ ها، از جمله مخمر، ممکن است با رنگ آمیزی گرم نیز شناسایی شوند. -
این آزمایش در چه زمانی درخواست داده میشود؟
-
نتایج این آزمایش چگونه تفسیر میشود؟رنگ آمیزی گرم منفی اغلب به عنوان "هیچ ارگانیسم دیده نشده" گزارش شده است. این ممکن است به این معنی باشد که هیچ عفونت باکتریایی وجود ندارد یا باکتری های کافی موجود در نمونه وجود ندارد که با رنگ زیر میکروسکوپ دیده شود.
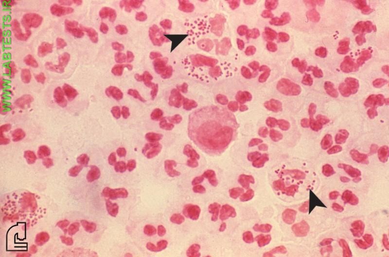
نتایج رنگ آمیزی گرم مثبت معمولا شامل شرح آنچه در اسلاید دیده می شود که معمولا شامل موارد زیر می شود:
- آیا باکتری ها گرم مثبت (بنفش) هستند یا گرم منفی (صورتی)
- شکل - گرد (کوکی ها) یا میله ها (باسیل ها)
- اندازه، مقدار نسبی و یا ترتیب باکتری ها، در صورت لزوم
- آیا باکتری موجود در سلول های دیگر (داخل سلولی) وجود دارد؟
- حضور گلبول های قرمز یا گلبول های سفید
- قارچ ها (به شکل مخمرها و یا کپک) ممکن است در رنگ آمیزی گرم دیده و گزارش شوند. مخمر ممکن است به شکل سلول های تک تک همراه با جوانه ظاهر شود، در حالی که کپک ممکن است با شاخه های گیاه مانند نخینه (ریسه مانند) ظاهر می شود. برای شناسایی نوع خاص ممکن است تست های بیشتری انجام شود. (برای اطلاعات بیشتر در این مورد به آزمایش های قارچی مراجعه کنید.)
این اطلاعات همراه با علائم و نشانه ها و سایر یافته های بالینی به پزشک متخصص کمک می کند تا دربارۀ درمان موثر تصمیم بگیرد، گاهی اوقات قبل از اینکه نتایج حاصل از کشت در دسترس باشد.
با این حال، نتایج رنگ آمیزی گرم معمولا در نظر گرفته می شود و نتایج یک آزمایش کشت و یا آزمایشات دیگری از قبیل آنتی ژن و آزمایش آنتی بادی برای انواع خاصی از باکتری ها برای تایید تشخیص لازم است. گاهی اوقات آزمایش حساسیت برای تعیین آنتی بیوتیک موثر در درمان عفونت ضروری است.
چند نمونه از بعضی از باکتری های قابل توجه پزشکی و آنچه که در رنگ آمیزی گرم به نظر می رسند عبارتند از:
- کوکسی های گرم مثبت—استافیلوکوک اورئوس (استاف اورئوس) می تواند باعث ایجاد عفونت های پوستی و سندرم شوک سمی شود. استرپتوکوک پنومونی می تواند باعث ایجاد پنومونی شود.
- کوکسی های گرم منفی—نایسریا مننژیدیس مننژیت را ایجاد می کند در حالی که نایسریا سوزاک آ بیماری سوزاک ای بیماری های منتقله از راه جنسی را ایجاد می کند
- باسیل های گرم مثبت—باسیلوس آنتراسیس (سیاهزخم) می تواند عفونت های پوستی یا سینهپهلو (همچنین یک عامل بیوتروریسم) را ایجاد کند؛ لیستریا مونوسیتوژنز می تواند باعث بیماری های غذایی شود.
- باسیل های گرم منفی-اشیرسیا کلی (E-Coli) یک علت شایع عفونت ادراری است.
نمونه هایی از قبیل خون و مایع مغزی نخاعی به طور کلی استریل هستند. باکتری ها معمولا در این نمونه ها وجود ندارند، در حالی که هیچ عفونت باکتریایی وجود ندارد. باکتری ها ممکن است در ابتدا با تعداد کم در یک عفونت حضور داشته باشند و این نوع نمونه ممکن است نیاز به پردازش بیشتری داشته باشد تا باکتری ها را تغلیظ نموده تا بتوان آن ها را با رنگ آمیزی گرم شناسایی کرد.
دیگر مایعات و محل های بدن مانند خلط یا پوست، معمولا سلول ها و فلور طبیعی را در کنار هر گونه باکتریایی ایجاد می کنند که باعث عفونت می شوند. رنگ آمیزی گرم در این نوع نمونه ها نیاز به آزمایش دقیق توسط آزمایشگاه آموزش دیده دارد برای تعیین اینکه کدام سلول طبیعی و کدام یک عفونی است.
-
آیا اطلاعات بیشتری برای بیمار مورد نیاز است؟عفونت های باکتریایی نباید نادیده گرفته شود، حتی اگر علائم خفیف باشد. درمان سریع می تواند گسترش و شدت آن را محدود کند. اگر درمان نشود، عفونت های باکتریایی ممکن است گسترش یابد و در نهایت سبب آسیب بافتی و اندام می شود.
ویروس ها با رنگ آمیزی گرم قابل شناسایی نیستند.
اگر پزشک معتقد باشد که فرد مبتلا به عفونت میکروباکتری، مانند سل، اسمیر و کشت اسید AFB (باسیل اسید فست ) است، می تواند آزمایش نمونه های خلط را به جای رنگ آمیزی گرمی و کشت تجویز کند.
-
راه حل های درمانی عفونت های میکروبی چیست؟
-
چرا رنگ آمیزی گرم در تمام نمونه های فرستاده شده برای کشت انجام نشده است؟رنگ آمیزی گرم هنگامی که باکتری های بیماری زا (پاتوژن) نمی توانند از فلور طبیعی باکتری ها جدا شوند، مفید نیستند. به عنوان مثال، رنگ آمیزی گرم از یک نمونه از گلو نمی تواند پزشک را به این که کدام باکتری باعث عفونت می شود، آگاه کند؛ زیرا هر دو "باکتری خوب" و "باکتری های بد" بطور یکسان در زیر میکروسکوپ مشاهده می شوند.
-
چه اتفاقی می افتد اگر پزشک نیاز به اطلاعات بیشتری از رنگ آمیزی گرم داشته باشد؟رنگ آمیزی گرم معمولا در ارتباط با یک کشت انجام می شود و ممکن است با آزمایش حساسیت همراه باشد. این کار به شناسایی دقیق تر باکتری های عامل عفونت و تعیین مناسب ترین آنتی بیوتیک کمک می کند. چند تست دیگر برای کمک به تشخیص، از جمله آزمایش آنتی ژن و آنتی بادی و آزمایشات مولکولی که مواد ژنتیکی باکتری را تشخیص می دهند، در دسترس هستند.
