اسامی دیگر
Karyotype
Cytogenetics
Cytogenetic Analysis
Chromosome Studies
Chromosome Karyotype
اسم متعارف
Chromosome Analysis
تاریخ آخرین بازبینیدر مورخه
تاریخ آخرین اصلاحدر مورخه January 11, 2018.
آزمایش در یک نگاه
علت انجام آزمایش؟

تشخیص ناهنجاری‌های کروموزومی، کمک به تشخیص بیماری‌های ژنتیکی، برخی از نقایص تولد، و اختلالات خاصی از خون و سیستم لنفاوی

زمان انجام آزمایش؟

هنگامی که نتیجه آزمایش غربالگری بارداری غیرطبیعی است؛ زمان که علائم اختلال کروموزومی وجود داشته باشد؛ همان‌گونه که برای تشخیص اختلالات کروموزومی در فرد و یا تشخیص اختلال خاص در اعضای خانواده عنوان گردید؛ گاهی اوقات زمانی که فردی به لوسمی، لنفوم، میلوما، میلولدسپلازی یا سرطان دیگری مبتلا می‌شود و به اختلال کروموزومی مشکوک است.

نمونه مورد نیاز

نمونه خون گرفته شده از ورید بازوی فرد؛ یک نمونه از مایع آمنیوتیک یا ویروس کوریونیک از زن باردار؛ نمونه مغز استخوان یا نمونه بافت

آمادگی‌های لازم پیش از نمونه‌گیری

ندارد

نتایج آزمایش خود را می‌توانید در وب‌سایت آزمایشگاه یا در پورتال بیمار مشاهده کنید. در حال حاضر شما در وب‌سایت LabTests هستید که احتمالا به منظور دریافت اطلاعاتی در مورد آزمایش‌هایی که انجام داده‌اید، از طریق وب‌سایت آزمایشگاه خود به این وب‌سایت وارد شده‌اید. البته برای مشاهده‌ی نتایج آزمایش‌های خود، لازم است تا دوباره به وب‌سایت آزمایشگاه خود مراجعه کرده و یا با پزشک خود تماس بگیرید.

این وب‌سایت یک وب‌سایت آموزشی برای بیمار است و اطلاعاتی را در مورد آزمایش‌ها به بیمار ارائه می‌دهد. مطالب موجود در این سایت، که توسط متخصصین آزمایشگاهی و دیگر متخصصین حوزه‌ی پزشکی بررسی شده است، توضیحات کلی درباره تفسیرهای احتمالی نتایج آزمایش‌های ذکر شده در سایت می‌باشد. به عنوان مثال در صورت مقادیر بالا یا پایین نتایج آزمایش‌ها، اطلاعاتی در مورد وضعیت احتمالی سلامتی یا بیماری در اختیار پزشک قرار می‌گیرد.

محدوده‌ی مرجع این آزمایش را می‌توانید در برگه‌ی جواب آزمایش خود مشاهده نمایید. محدوده‌های مرجع، معمولا در سمت راست برگه‌ی آزمایش درج می‌شوند.

اگر به برگه‌ی جواب‌دهی دسترسی ندارید، برای دریافت محدوده‌ی مرجع، می‌توانید با پزشک خود یا با آزمایشگاهی که آزمایش را آن‌جا انجام داده‌اید، تماس بگیرید.

جهت تفسیر نتایج تست‌های آزمایشگاهی، می‌بایست این نتایج نسبت به محدوده‌ی مرجع مقایسه شوند. محدوده‌ی مرجع، نتایج مورد انتظار در یک فرد سالم می‌باشد. گاهی اوقات، به این محدوده، محدوده‌ی نرمال نیز گفته می‌شود. با مقایسه‌ی نتایج آزمایش خود با محدوده‌ی مرجع، می‌توان از غیرطبیعی بودن نتایج آزمایش خود نسبت به محدوده‌ی مورد انتظار آگاه شد. مقادیری که خارج از محدوده‌ی مورد انتظار هستند؛ می‌توانند سرنخ‌هایی برای شناسایی شرایط و بیماری‌های احتمالی باشند.

اگر‌چه در چند دهه‌ی گذشته، صحت تست‌های آزمایشگاهی به طور قابل ملاحظه‌ای افزایش یافته است؛ اما به علت تفاوت در تجهیزات، معرف‌های شیمیایی و تکنیک‌ها، ممکن است بین آزمایشگاه‌های مختلف تفاوت‌هایی در نتایج آزمایش‌ها دیده شود و وجود محدوده‌‌های مرجع متفاوت در این سایت نیز به همین علت می‌باشد. این مهم است که بدانید، جهت مقایسه‌ی نتایج آزمایش خود با نتایج مورد انتظار، حتما از محدوده‌ی مرجعی که توسط آزمایشگاه انجام دهنده‌ی آزمایش شما ارائه شده است استفاده نمایید.

جهت اطلاعات بیشتر، به قسمت محدوده‌ی مرجع و تفسیر آن‌ها رجوع کنید.

هدف از آزمایش؟

آزمایش تجزیه و تحلیل کروموزومی یا کریوتایپینگ آزمایشی است که تعداد و ساختار کروموزوم‌های فرد را به‌منظور تشخیص ناهنجاری‌ها ارزیابی می‌کند. کروموزوم‌ها درون هسته‌ی سلولی ساختارهای نخ‌مانندی دارند و حاوی طرح ژنتیکی بدن هستند. هر کروموزوم شامل هزاران ژن در مکان‌های خاص است. این ژن‌ها مسئول ویژگی‌های فیزیکی ارثی فرد هستند و تأثیر زیادی بر رشد، توسعه و عملکرد دارند.

انسان‌ها دارای 46 کروموزوم به‌صورت 23 جفت هستند. بیست و دو جفت در هر دو جنس (اتوزوم) و یک جفت (کروموزوم جنسی) یافت می‌شود یا XY (در مردان) و یا XX (در زنان). به‌طور معمول، تمام سلول‌های بدن که دارای هسته هستند، مجموعه‌ای کامل از 46 کروموزوم مشابه را دارا هستند، به جز سلول‌های تولید مثل (تخم و اسپرم) که حاوی نصف مجموعه 23 است. این نصف مجموعه سهم ژنتیکی است که به‌صورت نصف مجموعه از هر یک از والدین به‌منظور ایجاد مجموعه‌ای جدید از 46 کروموزوم در جنین در حال رشد، به فرزند منتقل می‌شود.

ناهنجاری‌های کروموزومی شامل تغییرات تعدادی و ساختاری می‌شود. برای تغییرات تعدادی، هر چیزی غیر از مجموعه‌ای کامل از 46 کروموزوم، به‌منزله تغییر در مقدار مواد ژنتیکی موجود است و باعث مشکلاتی در سلامتی و رشد می‌شود. برای تغییرات ساختاری، اهمیت مشکلات و شدت آن‌ها بستگی به کروموزومی دارد که تغییر کرده است. نوع و شدت مشکل می‌تواند از فردی به فرد دیگر متفاوت باشد، حتی زمانی که اختلال کروموزومی یکسانی وجود داشته باشد.

کریوتایپینگ کروموزومی، کروموزوم شخص را برای تعیین تعداد صحیح و طبیعی بودن همه‌ی کروموزوم‌ها بررسی می‌کند. این کار نیاز به تجربه و تخصص در انجام درست آزمایش و تفسیر صحیح نتایج دارد. در حالی‌که از لحاظ تئوری تقریبا از هر سلول می‌توان برای انجام آزمایش استفاده نمود، عملاً و معمولاً برای ارزیابی جنین بر روی مایع آمنیوتیک و بر روی لنفوسیت‌ها (سلول سفید خون) از نمونه خون برای آزمایش همه سنین دیگر انجام می‌شود. به‌طور مشابه، سلول های سفید خون را می‌توان از نمونه مغز استخوان به‌دست آورده و برای بررسی تغییرات در افرادی که به بیماری‌های هماتولوژیک یا لنفوسیتی مشکوک هستند (مانند لوسمی، لنفوم، میلوما، کم‌خونی مقاوم) از آن‌ها استفاده نمود.

این آزمایش بدین صورت انجام می‌گیرد:

  • نمونه‌برداری از سلول‌های فرد، کشت آن‌ها در کشت غنی‌شده برای تحریک تقسیم برون‌تنی (درون‌کشتگاهی) سلول. این کار به منظور انتخاب زمان خاص طی مرحله‌ی رشد سلول‌ها، راحت‌ترین زمان تشخیص کروموزوم‌ها انجام می‌گیرد.
  • جداسازی کروموزوم از هسته سلول، قرار دادن آن‌ها در اسلاید و درمان آن‌ها با رنگ‌آمیزی‌های خاص.
  • گرفتن میکرو عکس از کروموزوم.
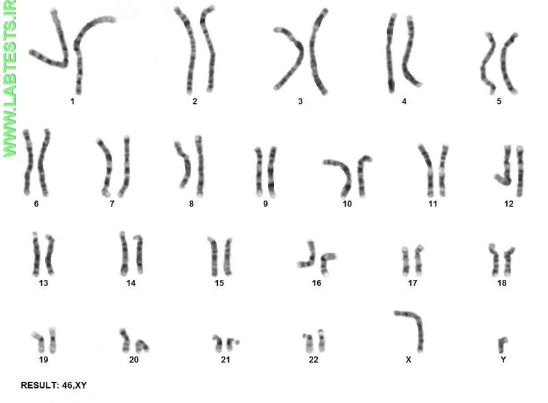
  • مرتب کردن تصاویر کروموزوم‌ها در قالب پازل، مطابقت جفت‌ها و مرتب‌کردن آن‌ها براساس اندازه، از بزرگ‌ترین به کوچک‌ترین، اعداد 1 تا 22، و سپس کروموزوم‌های جنسی به عنوان جفت 23.
  • تصاویر همچنین اجازه می‌دهد کروموزوم ها عمودی قرار گیرند. هر کروموزوم شبیه یک کاه راه راه است. این کروموزوم دارای دو شاخه است که طول آن متفاوت است (شاخه‌ی کوتاه (p) و شاخه‌ی بلند (q))، محدوده بین بازوها سترومر نامیده می شود ، و یک سری از نوارهای افقی تاریک و روشن است. طول شاخه‌ها و محل نوارها به تشخیص بالا از پایین کمک می‌کند.
  • هنگامی که ترتیب عکس‌های کروموزوم تکمیل می‌شود، متخصص آزمایشگاهی جفت‌های کروموزومی را ارزیابی می‌کند و هر گونه ناهنجاری احتمالی را شناسایی می‌کند.

برخی از اختلالات کروموزومی که ممکن است شناسایی شوند عبارتند از:

  • سندرم داون (تریزومی 21)، ناشی از کروموزوم اضافی 21؛ این ممکن است در تمام یا بیشتر سلول‌های بدن اتفاق بیفتد.
  • سندرم ادواردز (تریزومی 18)، بیماری مرتبط با عقب ماندگی شدید ذهن؛ ایجاد شده توسط کروموزوم اضافی 18.
  • سندرم پاتاو (تریزومی 13)، ناشی از کروموزوم اضافی 13.
  • سندرم کلاین‌فلتر، شایع‌ترین اختلال کروموزوم جنسی در مردان؛ ایجاد شده توسط کروموزوم اضافی X
  • سندرم ترنر، ناشی از فقدان یک کروموزوم X در زنان است.
  • لوسمی مزمن مولدین، جایگزینی 9؛ 22 که تشخیص بیماری است.

(عکس‌های مرتبط زیر را ببینید)

نحوه جمع‌آوری نمونه برای انجام آزمایش؟

برای تهیه نمونه مناسب رعایت چه شرایطی الزامی می‌باشد؟

برای انجام این آزمایش به آماده‌سازی نیاز نیست.

Accordion عنوان
سوالات رایج
  • این آزمایش در چه مواردی کاربرد دارد؟

    از کریوتیپ کروموزومی برای تشخیص ناهنجاری‌های کروموزومی مورد استفاده قرار می‌گیرد و بدین ترتیب، برای تشخیص بیماری‌های ژنتیکی، برخی از نقایص زایمان و اختلالات خاصی از خون یا سیستم لنفاوی مورد استفاده قرار می گیرد.

    این آرمایش را می‌توان در موارد زیر انجام داد:

    جنین با استفاده از مایع آمنیوتیک یا ویلیوم کوریونی (بافت از جفت):

    • اگر نتیجه یک یا چند آزمایش غربالگری بارداری مانند تشخیص سندرم داون سه ماهه اول یا غربالگری سه ماهه دوم سرم مادر غیرطبیعی باشد.
    • اگر بر روی یک زن باردار آزمایش تجزیه و تحلیل مایع آمنیوتیک انجام شود زیرا در معرض خطر بالای داشتن نوزادی با نقص مادرزادی است.
    • اگر در نتیجه انجام سونوگرافی اختلالات ساختاری و یا رشد جنین شناسایی شده باشد.
    • اگر اختلال کروموزومی شناخته‌شده در سیر خانوادگی وجود داشته باشد.
    • از یک زن یا یک زوج که قبل از بارداری برای ارزیابی کروموزوم‌ها مراجعه نمایند، مخصوصا اگر زن سابقه سقط جنین یا ناباروری داشته باشد.
    • از بافت جنین سقط شده یا نوزاد تازه متولد شده، برای کمک به تعیین این‌که آیا علت بیماری ناشی از اختلال کروموزومی در جنین است یا خیر.
    • نوزادانی که دارای اختلالات مادرزادی هستند، از جمله نقایص جسمی، عقب‌ماندگی ذهنی، کندی رشد، و یا علائم یک اختلال ژنتیکی خاص.
    • فرد مبتلا به نازایی یا فردی که علائم یک اختلال ژنتیکی را نشان می‌دهد.
    • اعضای خانواده، برای تشخیص برخی از اختلالات کروموزوم خاص زمانی که در کودک یا یکی دیگر از اعضای خانواده شناسایی شده است.
    • فردی که با نوع خاصی از لوسمی، لنفوم، کم‌خونی مقاوم به سرطان یا سرطان تشخیص داده شده است، زیرا این شرایط می‌تواند منجر به تغییرات در کروموزوم شود؛ این آزمایش را می‌توان بر روی خون یا نمونه مغز استخوان انجام داد.
  • این آزمایش در چه زمانی درخواست داده می‌شود؟

    تجزیه و تحلیل کروموزوم زمانی تجویز می‌شود که جنین مشکوک به داشتن اختلال کروموزومی باشد، زمانی که نوزادی دارای اختلالات مادرزادی باشد، زمانی که زن سابقه سقط و یا ناباروری داشته باشد، و هنگامی که بزرگسالی نشانه‌های یک بیماری ژنتیکی را نشان می‌دهد.

    این آزمایش را همچنین می‌توان هنگامی که در کودک یا یکی دیگر از اعضای خانواده یک اختلال کروموزومی شناسایی شده باشد، برای تشخیص وجود اختلال کروموزومی در اعضای خانواده تجویز کرد.

    همچنین این آزمایش را می‌توان برای تشخیص ناهنجاری‌های کروموزومی برای فرد مبتلا به لوسمی، لنفوم، میلوما، آنمی مقاوم به سرطان یا سرطان دیگری تجویز نمود.

  • نتایج این آزمایش چگونه تفسیر می‌شود؟

    تفسیر نتایج این آزمایش باید توسط فردی دارای تخصص سیتوژنتیک انجام شود. برخی یافته‌ها نسبتا ساده هستند، مانند کروموزوم اضافی 21 (تریزومی 21) که نشان‌دهنده‌ سندرم داون است، اما برخی دیگر ممکن است بسیار پیچیده باشند.

    هرچند نشانه‌های معمولی درباره اختلالات کروموزوم خاصی وجود دارد، اما اثرات و شدت آن ممکن است از فردی به فرد دیگر متفاوت باشد و اغلب نمی‌توان آن را به‌طور قابل اعتمادی پیش‌بینی کرد.

    برخی از مثال‌های مربوط به ناهنجاری که در تجزیه و تحلیل کروموزومی آشکار می‌شود عبارتند از:

    تریزومی وجود یک کروموزوم اضافی، یک سه‌تایی به جای یک جفت. بیماری‌های مرتبط با تریزومی شامل سندرم داون (همراه با تریزومی کروموزوم 21)، سندرم پاتو (تریزومی13)، سندرم ادوارد (ترزومی 18) و سندرم کلاین‌فلتر (مردی با کروموزوم X اضافی - XXY به جای XY).
    مونوزومی این عدم وجود یکی از کروموزوم‌هاست. یک مثال از مونوزومی، سندرم ترنر است (زنی با کروموزوم تک X - X به جای XX). بیشتر مونوزمی‌های دیگر دوام نمی‌آورند.
    حذف‌شده‌ها این‌ها قطعات کروموزوم و یا مواد ژنتیکی را از دست داده‌اند. برخی ممکن است آنقدر کوچک باشند که شناسایی آن‌ها دشوار باشد.
    تکثیریافته‌ها این‌ها مواد ژنتیکی اضافی هستند و ممکن است در هر کروموزومی وجود داشته باشند، مانند حضور دو شاخه‌ی افقی در یک مکان خاص به جای یک شاخه.
    جایگزینی با جابجایی، قطعات کروموزوم قطع شده و دوباره به یک کروموزوم دیگر متصل می‌شود. اگر این یک جابجایی یک به یک باشد و تمام مواد ژنتیکی وجود داشته باشد (اما در مکان اشتباه)، گفته می‌شود که انتقال متوازن است. اگر این‌گونه نباشد، آن را به‌عنوان یک انتقال بدون توازن می‌نامند.
    بازچینی زنتیکی با این کار، مواد ژنتیکی بر روی یک کروموزوم وجود دارد اما نه در محل معمولشان. فرد می‌تواند هر دو مورد بازچینی و تکرار یا حذف را داشته باشد. احتمال بی‌نهایت بازچینی وجود دارد. تفسیر تأثیرات تغییرات می‌تواند چالش‌برانگیز باشد.

    تکثیر، حذف، انتقال و بازچینی ژنتیکی می‌تواند منجر به از دست رفتن سلامت و رشد فرد شود. بستگی به این دارد که کدام ژن‌ها از دست رفته یا در کپی‌های بی‌شماری حضور دارند.

    برخی از تغییرات ژنتیکی تغییراتی هستند که نشانه‌های قابل‌توجهی را ایجاد نمی‌کنند. جابجایی‌های متعادل (جایی که دو کروموزوم بخشی از خودشان را تغییر داده‌اند اما تمام مواد ژنتیکی وجود دارد) می‌تواند برای خود فرد، مشکلی ایجاد نکند، اما ممکن است مشکلاتی را در فرزندانشان به‌وجود آورد.

    بسیاری از بیماری‌های بدخیم خون و لنفوئید (به عنوان مثال، لوسمی، لنفوم، میلوما، میلودیسپلازی) با اختلالات کروموزومی همراه هستند که می‌تواند به تشخیص بیماری و یا پیش‌بینی روند بالینی بیماری کمک کند.

  • آیا اطلاعات بیشتری برای بیمار مورد نیاز است؟

     از آنجا که کروموزوم‌های جنسی (XX یا XY) طی آنالیز کروموزوم شناسایی می‌شوند، این آزمایش همچنین به عنوان یک نتیجه‌ی فرعی قطعا جنسیت جنین را تعیین می‌کند.

    برخی از تغییرات کروموزوم بسیار کوچک یا ظریف هستند، که با کریوتایپینگ کشف شوند. گاهی اوقات از دیگر روش‌های آزمایش مانند هیبریداسیون موضعی فلورسنت (FISH) یا میکرواری (micro array) ممکن است برای بررسی بیشتر ناهنجاری‌های کروموزومی انجام شود.

    انسان‌ها می‌توانند سلول‌هایی با مواد ژنتیکی متفاوت داشته باشند. این به دلیل تغییراتی است که در ابتدای رشد جنین رخ می‌دهد و منجر به رشد سلول‌های متمایز مشخص می‌شود که موزائیسیزم نامیده می‌شود. یک مثال از این موارد برخی از موارد سندرم داون است. فرد مبتلا ممکن است سلول‌هایی با کروموزوم سوم اضافی 21 و برخی از سلول‌های با جفت نرمال داشته باشد.

  • آیا همه باید این آزمایش را انجام دهند؟

    تجزیه و تحلیل کروموزوم اغلب انجام می‌شود، اما به‌عنوان یک آزمایش عمومی غربالگری مطرح نمی‌شود. بیشتر مردم هرگز نیازی به انجام این کار ندارند.

  • آیا تجزیه و تحلیل کروموزوم در مطب متخصص انجام می‌شود؟

    خیر، برای انجام و تفسیر این آزمایش نیاز به تجهیزات تخصصی است. در بیشتر موارد، نمونه‌ها به آزمایشگاه مرجع ارسال می‌شود.

  • چرا انجام آزمایش کاریوتیپ چند روز طول می‌کشد ؟

    سلول‌هایی که مورد آزمایش قرار می‌گیرند باید کشت شوند و تقسیم سلولی انجام شود. زمانی که این کار انجام می‌شود از نمونه‌ای به نمونه دیگر متفاوت خواهد بود. ارزیابی کاریوتیپ‌های بسیار پیچیده و غیرطبیعی ممکن است نیاز به زمان بیشتری داشته باشد.

مشاهده منابع
منابع مورد استفاده در این مطلب

Tietz Textbook of Clinical Chemistry and Molecular Diagnostics. Burtis CA, Ashwood ER, Bruns DE, eds. 4th edition, St. Louis: Elsevier Saunders; 2006, Pp 1466-1474.

(April 24, 2014) Petrozza J. Recurrent Early Pregnancy Loss. Medscape Reference. Available online at http://emedicine.medscape.com/article/260495-overview. Accessed April 2016.

Henry's Clinical Diagnosis and Management by Laboratory Methods. 22nd ed. McPherson R, Pincus M, eds. Philadelphia, PA: Saunders Elsevier: 2011, Pp 1293-1312.

(©2016) Mayo Clinic. Chromosome Analysis, Congenital Disorders, Blood. Available online at http://www.mayomedicallaboratories.com/test-catalog/Clinical+and+Interpretive/35248. Accessed April 2016.

(©2016) Mayo Clinic. Chromosome Analysis, Hematologic Disorders, Blood. Available online at http://www.mayomedicallaboratories.com/test-catalog/Overview/35308. Accessed April 2016.

منابع مورد استفاده در بررسی‌های قبلی

Haldeman-Englert, C. (Updated 2010 December 1). Karyotyping. MedlinePlus Medical Encyclopedia [On-line information]. Available online at http://www.nlm.nih.gov/medlineplus/ency/article/003935.htm. Accessed October 2011.

(© 1996-2011). Introduction to Chromosomes. Chromosome Disorder Outreach. [On-line information]. Available online at http://www.chromodisorder.org/CDO/General/IntroToChromosomes.aspx. Accessed October 2011.

(2011 October 4). Handbook, Help me Understand Genetics. Genetics Home Reference, [On-line information]. Available online at http://ghr.nlm.nih.gov/handbook. Accessed October 2011.

Manning, M. and Hudgins, L. (2010 November). Array-based technology and recommendations for utilization in medical genetics practice for detection of chromosomal abnormalities. ACMG Practice Guidelines Genetics In Medicine v 12 (11) [On-line information]. PDF available for download at http://www.acmg.net/StaticContent/PPG/Array_based_technology_and_recommendations_for.13.pdf. Accessed October 2011.

(© 1995–2011). Unit Code 8696: Chromosome Analysis, for Congenital Disorders, Blood. Mayo Clinic Mayo Medical Laboratories [On-line information]. Available online at http://www.mayomedicallaboratories.com/test-catalog/Overview/8696. Accessed October 2011.

Liptak, G. (Revised 2009 January). Overview of Chromosomal Anomalies. Merck Manual for Healthcare Professionals [On-line information]. Available online through http://www.merckmanuals.com. Accessed October 2011.

(2009 December). Chromosomal abnormalities. March of Dimes [On-line information]. Available online at http://www.marchofdimes.com/baby/birthdefects_chromosomal.html. Accessed October 2011.

(© 2011). Using Karyotypes to Predict Genetic Disorders. Learn. Genetics Genetic Science Learning Center, University of Utah [On-line information]. Available online at http://learn.genetics.utah.edu/content/begin/traits/predictdisorder/. Accessed October 2011.

Pagana, K. D. & Pagana, T. J. (© 2011). Mosby's Diagnostic and Laboratory Test Reference 10th Edition: Mosby, Inc., Saint Louis, MO. Pp 268-269.

از متخصصین آزمایشگاهی بپرسید

 

 

سوالات شما توسط همکاران ما به صورت یک خدمت داوطلبانه، پاسخ داده خواهد شد. برای این موضوع همواره می‌توانید بر روی کلید تماس با متخصصین کلیک کنید.